MS clinicians are not very good when it comes to agreeing on what is a new, or enlarging, lesion on MRI. #MSBlog #MSResearch
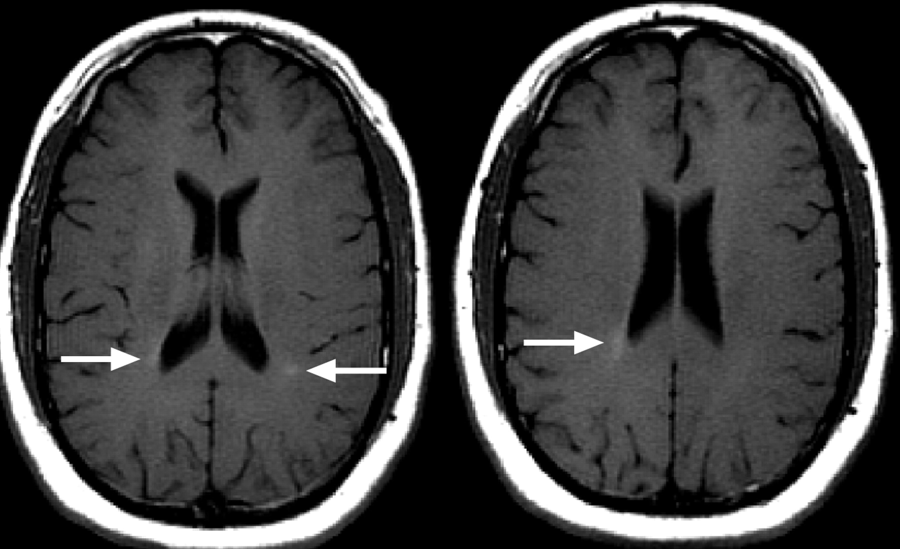
SUBJECTS: 85 MSer participating in a National Institutes of Health–supported longitudinal study were included.
INTERVENTION: Each MSer had a brain MRI scan at entry and 6 months later using a standardized protocol.
MAIN OUTCOME MEASURES: The number of new T2 lesions, newly enlarging T2 lesions, and gadolinium-enhancing lesions were measured on the 6-month MRI using a computer-based image analysis program for the original study. For this study, images were reanalyzed by an expert neuroradiologist and 3 clinician raters. The neuroradiologist evaluated the original image pairs; the clinicians evaluated image pairs that were modified to simulate clinical practice. New lesion counts were compared across raters, as was classification of patients as MRI active or inactive.
RESULTS: Agreement on lesion counts was highest for gadolinium-enhancing lesions, intermediate for new T2 lesions, and poor for enlarging T2 lesions. In 18% to 25% of the cases, MRI activity was classified differently by the clinician raters compared with the neuroradiologist or computer program. Variability among the clinical raters for estimates of new T2 lesions was affected most strongly by the image modifications that simulated low image quality and different head position.
CONCLUSIONS: Between-rater variability in new T2 lesion counts may be reduced by improved standardization of image acquisitions, but this approach may not be practical in most clinical environments. Ultimately, more reliable, robust, and accessible image analysis methods are needed for accurate multiple sclerosis disease-modifying drug monitoring and decision making in the routine clinic setting.
Erbayat-Altay et al. Reliability of classifying multiple sclerosis disease activity using magnetic resonance imaging in a multiple sclerosis clinic. JAMA Neurol. 2013;70(3):338-44.
OBJECTIVE: To assess the reliability of new MRI lesion counts by clinicians in a MS specialty clinic.
SUBJECTS: 85 MSer participating in a National Institutes of Health–supported longitudinal study were included.
INTERVENTION: Each MSer had a brain MRI scan at entry and 6 months later using a standardized protocol.
MAIN OUTCOME MEASURES: The number of new T2 lesions, newly enlarging T2 lesions, and gadolinium-enhancing lesions were measured on the 6-month MRI using a computer-based image analysis program for the original study. For this study, images were reanalyzed by an expert neuroradiologist and 3 clinician raters. The neuroradiologist evaluated the original image pairs; the clinicians evaluated image pairs that were modified to simulate clinical practice. New lesion counts were compared across raters, as was classification of patients as MRI active or inactive.
RESULTS: Agreement on lesion counts was highest for gadolinium-enhancing lesions, intermediate for new T2 lesions, and poor for enlarging T2 lesions. In 18% to 25% of the cases, MRI activity was classified differently by the clinician raters compared with the neuroradiologist or computer program. Variability among the clinical raters for estimates of new T2 lesions was affected most strongly by the image modifications that simulated low image quality and different head position.
CONCLUSIONS: Between-rater variability in new T2 lesion counts may be reduced by improved standardization of image acquisitions, but this approach may not be practical in most clinical environments. Ultimately, more reliable, robust, and accessible image analysis methods are needed for accurate multiple sclerosis disease-modifying drug monitoring and decision making in the routine clinic setting.
“This study gets to the core of the problem of incorporating MRI into our decision-making algorithms. If we cannot agree what is a new or enlarging T2 lesion how can we have confidence in using MRI in clinical practice? This problem is not unique to MRI it occurs with all technologies and assays. All it tells us is that we need new tools or technologies to take the human error out of the equation. Thankfully fully-automated software tool are on the way.”
“Good news is that the reliability for detecting enhancing-lesions is better. More reason to incorporate gadolinium (Gd) into routine monitoring MRI. Gd-enhancing lesions are lesions that are new or actively inflammed; in other words active.”
” Despite this study there is little doubt that MRI activity whilst on a DMT is a good indication that you are a non-responder, or sub-optimal responder, if the DMT is a maintenance treatment. In comparison with induction therapies it is an indication you need to be retreated.”

As long as the radiologists agree with each other there should be no problem. Neurologists normally depend on their report